肝癌的治疗技术,最近几年进步很大仑伐替尼最新价格!


早期小肝癌可以治愈很多癌症,只要及时发现都有治愈的希望,包括肝癌。

以前是以手术切除为主,最近几年的介入栓塞术和消融术进步很快,可以作为首选方法。



像这位中年男子,有乙肝病史多年,因为车祸住院,结果意外发现小肝癌,还没有远处转移。

采用肝动脉栓塞术,堵塞肿瘤的供血血管,两年半复查,恢复良好:
中晚期肝癌,也有长期生存的希望
我国的肝癌大多与乙肝肝硬化、酒精性肝硬化、血吸虫性肝硬化有关,其中最常见的是乙肝肝硬化病人。
有些乙肝病人对身体状况不重视,常常在出现不适症状时,就发现已经比较大的肿瘤了。
像这位中年男子,发现胸部无痛性肿块半个月,来医院做了全面检查,竟然是肝癌,并肋骨转移,并没有明显的肝部症状。
做了肋骨放疗,肝脏介入治疗,半年后复查,原发灶和转移灶都明显缩小:
有些病人在栓塞术后,复查发现有残留复发的癌细胞,也可以配合消融治疗。
将探针插入肿瘤细胞区,高温杀灭癌细胞,同时可以暴露肿瘤抗原,激活人体免疫系统,提高疗效。
多种方法联合可以充分发挥各自优势,弥补彼此的不足。比如放射性粒子植入,对某些病人效果也非常好!
现在中晚期肝癌病人,经综合治疗,存活五年以上的有很多。
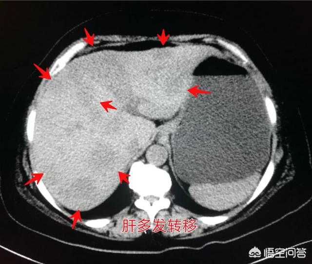
必须承认,某些终末期肝癌患者,治疗效果差比如那些肝脏弥漫性多发转移、门静脉瘤栓形成、全身条件差的病人,往往就缺乏有效的治疗手段了。
像这位病人,肝脏几乎长满了,并且有门静脉瘤栓,没有肝移植的条件。
这种情况只能对症处理,减少病人痛苦,做好临终关怀。
